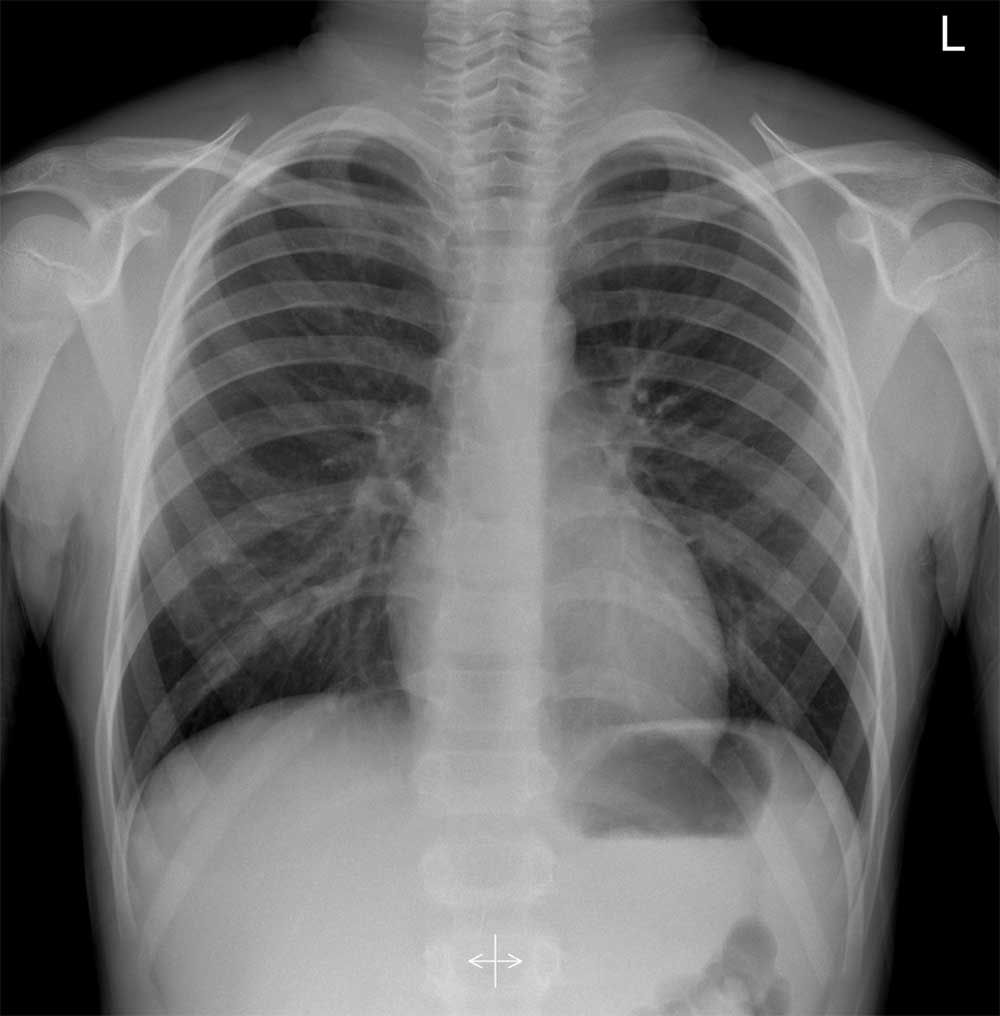
1. X-ray


X-ray tube (광원)에서 X-ray를 피사체에 쏘면 X-ray의 에너지가 높기 때문에 피사체를 통과하게 된다. 통과된 신호를 Detector에서 받아들인다. X-ray가 몸에 있는 tissue(공기, 뼈, 근육 등)를 통과하면 tissue의 intensity(강도)에 따라 통과된 에너지가 달라진다. Detector는 피사체를 통과해서 받은 X-ray를 전기 신호로 바꾸어 영상을 만들어낸다.
2. Computed Tomography (CT)


X-ray의 원리를 이용하는데 여러장의 2D 영상들을 Computing 작업을 통해 3D 영상으로 만들어낸다.
우선 X-ray tube와 Detector를 이용하여 피사체를 여러 방향에서 찍은 2D 영상을 만들고, 적분을 사용하여 영상을 다 더하면 3D 영상이 만들어진다. 여러방향에서 찍은 2D 영상를 더할수록 원본과 유사한 형태를 만들어낼 수 있다.
CT기기마다 사용하는 촬영 Filter와 영상을 복원하는 Reconstruction 등이 달라서 같은 피사체에서도 다른 퀄리티의 영상이 만들어진다. 또한 여러장의 2D 영상을 찍어낼수록 3D 영상의 해상도가 좋아지지만, 그만큼 방사선에 노출되는 위험이 있다. 그래서 2D 영상을 적게 찍으면서 영상의 해상도를 높일 수 있는 기술이 이슈화 되고 있다.
3. Positron Emission Tomography (PET)


방사선 물질을 몸에 주입하고, 주입된 방사선이 나오는 것을 몸 밖에서 수집하는 방식이다.
몸에 주입하는 방사선 물질은 양전자를 방출하는 방사성 동위원소를 결합한 의약품이다. 양전자 방출 단층 촬영기를 이용하여 이를 추적하여 체내 분포를 알아본다. 가장 흔히 이용하는 방사성 의약품은 포도당과 유사한 물질이여서 포도당의 대사가 활발한 곳에서 방출이 많이 이루어진다. 주입한 물질은 빨리 분해가 되야하므로 반감기가 짧은 방사선 물질을 만드는데 이것을 사이클로트론이라고 한다. 반감기가 짧은 원소들은 양전자를 방출하는데 양전자가 몸안의 전자들을 만나면 소멸이 일어나면서 γ-ray(Gamma ray)가 만들어진다. γ-ray가 양방향으로 방출될때 양방향에 있는 Detector에서 신호를 수집하여 CT와 같은 방식으로 영상을 취득할 수 있다. 또한 포도당 대사는 암세포가 있는 곳에서 비정상적으로 대사가 활발히 일어난다. 따라서 PET 영상에서는 암세포가 있는 부위가 밝에 나타나는 경향이 있다. 암을 조기진단 하는데 유용하게 사용된다.
최근에는 PET + CT 영상이나 PET + MRI을 함께 취득하는 스캐너들이 개발되고 있다.
출처
X-ray 이미지 : www.radiologycafe.com/radiology-trainees/frcr-physics-notes/x-ray-imaging
CT 구조 : m.blog.naver.com/hjkimk1/221941767830
CT 이미지 : www.edwith.org/medical-20200327/lecture/63122?isDesc=false
PET 구조 : multimodalneuroimaging.wordpress.com/2015/04/28/c-positron-emission-tomography/
PET 이미지 : bachlab.pitt.edu/facilities/pet-imaging
'인공지능 > 의료' 카테고리의 다른 글
| 의료영상과 인공지능 ⑥ 의료영상의 Classfication (0) | 2021.05.13 |
|---|---|
| 의료영상과 인공지능 ⑤ MRI, 의료촬영기기 장단점 비교 (0) | 2021.05.13 |
| 의료영상과 인공지능 ③ Image acquisition (0) | 2021.04.29 |
| 의료영상과 인공지능 ② PACS, DICOM, Visualization (0) | 2021.04.28 |
| 의료영상과 인공지능 ① Introducation (0) | 2021.04.21 |