1. 인공지능을 사용한 의료영상 분석 개요


2. 의료영상에 사용되는 대표적인 인공지능 기법

3. 의료영상과 인공지능 활용 사례
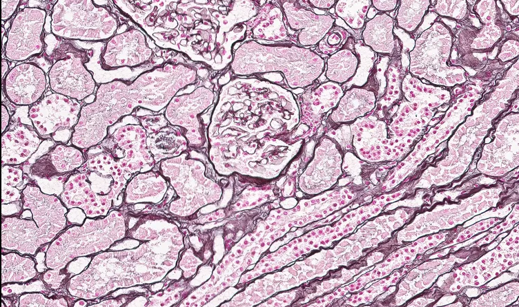
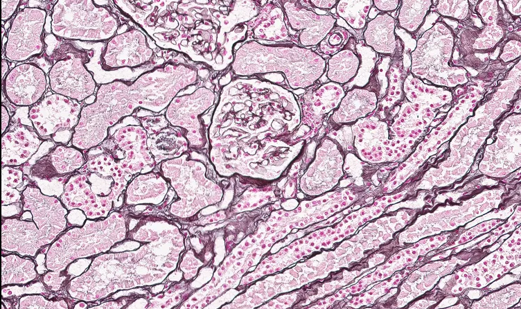
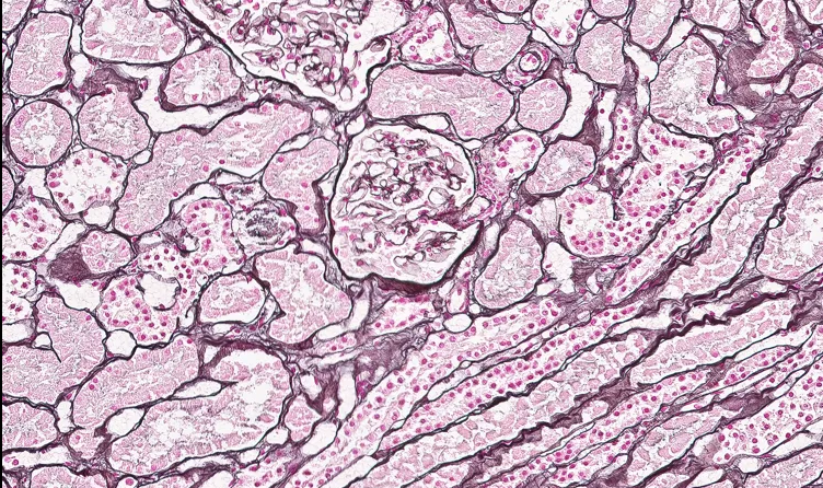
1) 슬라이드 스캐너 (Philips)


- 조직 검체의 수술병리검사 슬라이드를 디지털 이미지로 전환해 병리의사가 검토 및 분석
- 2018년 FDA 승인 받음
2) 뷰노메드 본에이지 (뷰노)

- 손의 X-ray 영상으로 뼈 나이(골 연령·Bone age) 측정. 결과에 따라 생활습관 개선이나 호르몬 치료 등을 도움
- 판독속도를 20%~40% 향상시키고 판독 정확도를 약 10% 향상
3) TiSepX (메디컬아이피)

- 코로나19 환자의 X-ray 영상에서 폐렴 병변의 면적과 비율 등 수치 정보를 얻게 돼, 신속하고 정확하게 중증도를 판별
- 폐 병변의 결과값 CT와 99.5% 이상 일치
출처
컴퓨터비전, 머신러닝, 딥러닝을 이용한 의료영상분석(1-2,1-3강): www.edwith.org/medical-20200327/joinLectures/30437
슬라이드 스캐너: 청년의사(http://www.docdocdoc.co.kr)
뷰노메드 본에이지: 중앙일보(jhealthmedia.joins.com/article/article_view.asp?pno=20250)
TisepX: 인공지능신문(http://www.aitimes.kr)
'인공지능 > 의료' 카테고리의 다른 글
| 의료영상과 인공지능 ③ Image acquisition (0) | 2021.04.29 |
|---|---|
| 의료영상과 인공지능 ② PACS, DICOM, Visualization (0) | 2021.04.28 |
| 뇌과학 - 용어 정리 (0) | 2020.06.25 |
| 뇌과학 - 뇌 촬영 기술 종류 (0) | 2020.05.04 |
| 뇌과학 - 뇌파의 종류 (0) | 2020.04.19 |